Almost done!!!
Wednesday, September 22, 2010
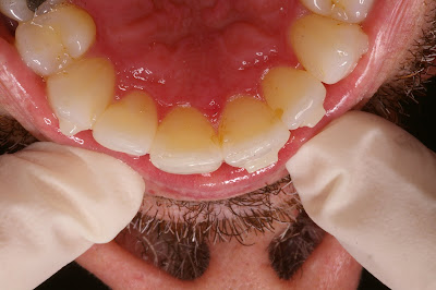
Invisalign 7th visit
Tuesday, September 21, 2010
Monday, September 20, 2010
Thursday, April 22, 2010
Invisalign 4th visit
Monday, April 5, 2010
Invisalign third visit
Invisalign second vist
Invisalign first visit
At the first appointment we did some slenderizing of the upper teeth (roughly 0.4mm between each one) to help alleviate the crowding and allow for tooth movement. We also placed his attachments on some of his teeth. The attachments are made of clear filling material and give the aligner something to grab onto for more difficult cases.
He started wearing his first set of aligners. Each aligner is typically worn for 2weeks. We also gave him some whitening gel and his second set of aligners and plan to see him in a month.
Wednesday, March 24, 2010
Friday, March 12, 2010
Invisalign
When I get back to the office next week I plan to set up blog that will follow one of my Invisalign patients. I hope to track his progress with pictures at each visit. Changing someones smile and improving their appearance is one of the more enjoyable things we do at the office. We are a small cosmetic and general dental office located in Saint Petersburg, FL.
Thanks for your interest.
Subscribe to:
Comments (Atom)









