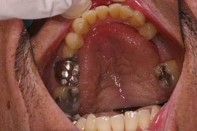
Here are the Invisalign patient's before photos.
Wednesday, March 24, 2010
Friday, March 12, 2010
Invisalign
When I get back to the office next week I plan to set up blog that will follow one of my Invisalign patients. I hope to track his progress with pictures at each visit. Changing someones smile and improving their appearance is one of the more enjoyable things we do at the office. We are a small cosmetic and general dental office located in Saint Petersburg, FL.
Thanks for your interest.
Subscribe to:
Comments (Atom)